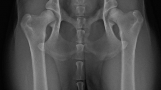
Developmental Orthopedic Diseases (DOD) are the most common cause of lameness in growing dogs. Examples of DODs include: Hip and Elbow Dysplasia Osteochondrosis/ Osteochondritis Dissecans (OC/OCD) Avascular Necrosis of the Femoral Head Patellar Luxation All of these conditions affect the […]

